Skip to content Skip to sidebar Skip to footer

Weisheitszahn Nah Am Nerv

Weisheitszahnentfernung Dr Michael Korsch

Weisheitszahnentfernung Dr Michael Korsch

Weisheitszahn nah am nerv. Die Empfindung im Unterkiefer ist seit dieser Zeit nicht mehr wie sie sein sollte. Nicht mal der Hausarzt kann mir in den Hals gucken. Bei mir sagte der arzt damals auch dass der nerv.

Schmerzmittel und Hausmittel helfen die Zahnschmerzen zu lindern. Ich hab gerade diese Frage gestellt. Weisheitszahn nah am Nerv.

Eine Entzündung des Weisheitszahns ist sehr schmerzhaft und äußert sich daneben häufig mit Rötung Schwellung und Eiterbildung. In den ersten Monaten hatte ich ein Taubheitsgefühl in der Unterlippe das nach längerer Zeit verschwand. Der Weisheitszahn links unten entfernt der letzte endlich.

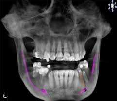
Der eine Nerv ist der Nervus alveolaris inferior der unterste Ast des Trigeminus-Nervs. Hatte ich noch nie eine Spritze im Mund. Weisheitszahn und zyste nerv nah - risiko.

Der Arzt hat das unterste Stück der Wurzel stehen gelassen da es etwas verwachsen sei und zu nah am Nerv. Mir wurde am Mittwoch 214. Dieser entscheidet ob eine operative Entfernung des Zahnes notwendig ist.

Häufig verläuft ein Nerv entweder durch die Wurzeln oder am Zahn entlang. Und bei nicht wenigen war es der fall dass der eingriff nah am nerv vorgenommen wurde das risiko also da war. Bevor ich meinen körper über jahre mit schmerzmitteln schädige und schmerzen leide würde ich mich diesem eingriff unterziehen.

Sie liegen sehr nah am Nerv weshalb der Arzt nur zwei auf Einmal zieht. Bei der lokalen Narkose besteht das Risiko vor allem dadurch dass durch die Nadel ein Nerv beschädigt wird.

Weisheitszahnentfernung Dr Michael Korsch

Weisheitszahnentfernung Dr Michael Korsch

Weisheitszaehne De Arten Der Verlagerung

Weisheitszaehne De Arten Der Verlagerung

Weisheitszaehne De Arten Der Verlagerung

Weisheitszaehne De Arten Der Verlagerung

Weisheitszahnentfernung Dr Med Dr Med Dent Bernd Kramer

Weisheitszahnentfernung Dr Med Dr Med Dent Bernd Kramer

Weisheitszahnentfernung Dr Michael Korsch

Weisheitszahnentfernung Dr Michael Korsch

Atraumatische Extraktion Der Unteren Weisheitszahne Zwp Online Das Nachrichtenportal Fur Die Dentalbranche

Atraumatische Extraktion Der Unteren Weisheitszahne Zwp Online Das Nachrichtenportal Fur Die Dentalbranche

8er Extraktion Trotz Nahe Zum N Alveolaris Zm Online

8er Extraktion Trotz Nahe Zum N Alveolaris Zm Online

Therapie Bei Schmerzen Am Weisheitszahn Dr Schweikart Verlag

Therapie Bei Schmerzen Am Weisheitszahn Dr Schweikart Verlag

Weisheitszahnentfernung Dr Med Dr Med Dent Bernd Kramer

Weisheitszahnentfernung Dr Med Dr Med Dent Bernd Kramer

Atraumatische Extraktion Der Unteren Weisheitszahne Zwp Online Das Nachrichtenportal Fur Die Dentalbranche

Atraumatische Extraktion Der Unteren Weisheitszahne Zwp Online Das Nachrichtenportal Fur Die Dentalbranche

Weisheitszahne Ganz Hinten Wachst Noch Was Stern De

Weisheitszahne Ganz Hinten Wachst Noch Was Stern De

Weisheitszahne Op Dauer Ablauf Risiken Dentolo

Weisheitszahne Op Dauer Ablauf Risiken Dentolo

Weisheitszahne Weisheitzahnentfernung

Weisheitszahne Weisheitzahnentfernung

Weisheitszahne Nicht Jeden Muss Der Arzt Ziehen Der Spiegel

Weisheitszahne Nicht Jeden Muss Der Arzt Ziehen Der Spiegel

Der Retinierte Weisheitszahn Zm Online

Der Retinierte Weisheitszahn Zm Online

Therapie Bei Schmerzen Am Weisheitszahn Dr Schweikart Verlag

Therapie Bei Schmerzen Am Weisheitszahn Dr Schweikart Verlag

3 D Rontgen Digitaler Volumentomograph Galileos Dvt 3 D Navigierte Implantation

3 D Rontgen Digitaler Volumentomograph Galileos Dvt 3 D Navigierte Implantation

Therapie Bei Schmerzen Am Weisheitszahn Dr Schweikart Verlag

Therapie Bei Schmerzen Am Weisheitszahn Dr Schweikart Verlag

Weisheitszahn Op Ablauf Risiken Kosten

Weisheitszahn Op Ablauf Risiken Kosten

Weisheitszahne Vorsicht Vor Abszessen Zahnarztzentrum Ch Blog

Weisheitszahne Vorsicht Vor Abszessen Zahnarztzentrum Ch Blog

Tom 33 Der Ist Nah An Einem Nerv Weisheitszahn Op De

Tom 33 Der Ist Nah An Einem Nerv Weisheitszahn Op De

Weisheitszahn Die 2te

Weisheitszahn Die 2te

Der Retinierte Weisheitszahn Zm Online

Der Retinierte Weisheitszahn Zm Online

Https Encrypted Tbn0 Gstatic Com Images Q Tbn And9gcrj5rlroc Gaiblf Bafiz4l115o Sko6p Xbu Aokiliekqp1j Usqp Cau

Https Encrypted Tbn0 Gstatic Com Images Q Tbn And9gcrj5rlroc Gaiblf Bafiz4l115o Sko6p Xbu Aokiliekqp1j Usqp Cau

Mussen Weisheitszahne Unbedingt Entfernt Werden Zahnarzte Saarland Zahnheilkunde Implantologie Praxis 2021

Mussen Weisheitszahne Unbedingt Entfernt Werden Zahnarzte Saarland Zahnheilkunde Implantologie Praxis 2021

Weisheitszahne Entfernen Jameda

Weisheitszahne Entfernen Jameda

Weisheitszahnentfernung Dr Michael Korsch

Weisheitszahnentfernung Dr Michael Korsch

Mooci Weisheitszahne Wenn Der Platz Im Kiefer Knapp Wird

Mooci Weisheitszahne Wenn Der Platz Im Kiefer Knapp Wird

Julian 15 Positiv Trotz Komplizierter Op Mit Lokalanasthesie Ausfuhrlich Weisheitszahn Op De

Julian 15 Positiv Trotz Komplizierter Op Mit Lokalanasthesie Ausfuhrlich Weisheitszahn Op De

Weisheitszahn Op Ablauf Kosten Risiken Dentalwissen

Weisheitszahn Op Ablauf Kosten Risiken Dentalwissen

Weisheitszahne Focus Arztsuche

Weisheitszahne Focus Arztsuche

3 D Rontgen Digitaler Volumentomograph Galileos Dvt 3 D Navigierte Implantation

3 D Rontgen Digitaler Volumentomograph Galileos Dvt 3 D Navigierte Implantation

Aufklarung

Aufklarung

Osteomyelitis Nach Weisheitszahn Op Denta Beaute

Osteomyelitis Nach Weisheitszahn Op Denta Beaute

8hvj6scvxwjqgm

8hvj6scvxwjqgm

Weisheitszahne Zahnarzt Team Luzern

Weisheitszahne Zahnarzt Team Luzern

10 Irrtumer Uber Weisheitszahne Gesundheit Bild De

10 Irrtumer Uber Weisheitszahne Gesundheit Bild De

Die Kieferchirurgische Entfernung Von Weisheitszahnen Kieferzentrum Hannover Kieferzentrum Hannover

Die Kieferchirurgische Entfernung Von Weisheitszahnen Kieferzentrum Hannover Kieferzentrum Hannover

Weisheitszahne Zsc Zahnservicecenter Stuttgart

Weisheitszahne Zsc Zahnservicecenter Stuttgart

Weisheitszahne Der Grosse Patienten Ratgeber Rund Um Die Extra Beisser

Weisheitszahne Der Grosse Patienten Ratgeber Rund Um Die Extra Beisser

Weisheitszahn Wikipedia

Weisheitszahn Wikipedia

Atraumatische Extraktion Der Unteren Weisheitszahne Zwp Online Das Nachrichtenportal Fur Die Dentalbranche

Atraumatische Extraktion Der Unteren Weisheitszahne Zwp Online Das Nachrichtenportal Fur Die Dentalbranche

Weisheitszahne Fakten Vor Nachteile Einer Entfernung

Weisheitszahne Fakten Vor Nachteile Einer Entfernung

8er Extraktion Trotz Nahe Zum N Alveolaris Zm Online

8er Extraktion Trotz Nahe Zum N Alveolaris Zm Online

Entfernung Des Weisheitszahnes In Ungarn

Entfernung Des Weisheitszahnes In Ungarn

Https Www Xn Zahnrzte Mnchen 3kb82b De Zahnerhalt Orale Chirurgie Html

Https Www Xn Zahnrzte Mnchen 3kb82b De Zahnerhalt Orale Chirurgie Html

Weisheitszahn Op Ablauf Risiken Kosten

Weisheitszahn Op Ablauf Risiken Kosten

Weisheitszahne Praxis Heller Ludwig

Weisheitszahne Praxis Heller Ludwig

1

1

Warte einfach bis morgen ab dann sollte es weg sein hier stehen alle Tipps.

Das gilt auch für Nerven die um den Weisheitszahn liegen. Und bei nicht wenigen war es der fall dass der eingriff nah am nerv vorgenommen wurde das risiko also da war. Eine Entzündung des Weisheitszahns ist sehr schmerzhaft und äußert sich daneben häufig mit Rötung Schwellung und Eiterbildung. Bei mir sagte der arzt damals auch dass der nerv. Mir wurde am Mittwoch 214. Mir wurde vor 2 Jahren ein Weisheitszahn herausoperiert und dabei der Nerv verletzt. Nur jetzt heisst es das muss ein Spezialist machen weil der Zahn zu nah am Nerv ist. Hallo Zusammen seit ich ende august beim zahnarzt nach 5 jahren war wurde ein röntgen bild gemacht und dabei festgestellt das am retinierten weisheitszahn 48 ein zyste wahrscheinlich folikoläre ist. Ihr Zahnarzt setzt alles daran um diesen Nerv nicht zu.


Der Arzt hat das unterste Stück der Wurzel stehen gelassen da es etwas verwachsen sei und zu nah am Nerv. Meinem Sohn müssen alle vier Weisheitszähne gezogen werden damit hatte er sich ja abgefunden. Wie überstehe ich das nur. Weisheitszahn nah am Nerv. In meinem verwandten- und freundeskreis habe wirklich alle ihre weißheitszähne entfernen lassen und keinem ist was passiert. Weisheitszahn und zyste nerv nah - risiko. Ich hab gerade diese Frage gestellt.

Post a Comment for "Weisheitszahn Nah Am Nerv"