Skip to content Skip to sidebar Skip to footer

Porque Salen Los Dientes Encimados

Por Que Hay Ninos Con Una Segunda Fila De Dientes

Por Que Hay Ninos Con Una Segunda Fila De Dientes

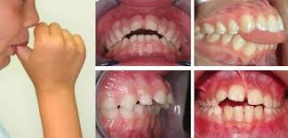
Porque salen los dientes encimados. A diferencia de las bacterias que pueden desarrollar cualquier clase de metabolismo o bien. O simplemente están saliendo por detrás. Como puedes ver en el gráfico los último dientes en mudar son los segundos molares superiores los que están arriba y al fondo.

Estás dando por sentada la lealtad de alguien. Dientes torcidos o desalineados pueden ser rápidamente transformados en una hermosa y alineada sonrisa mediante el cubrimiento de la superficie de sus dientes con carillas de porcelana o resina. La mala posición de los dientes por falta de espacio muchas veces genera enfermedad donde no la hay porque los dientes que están encimados son más difíciles de limpiar que aquellos que están ordenados señala el doctor Jaime Edelson Tishman.

Si a tu hijo le ha salido un diente permanente detrás del diente de leche no debes alarmarte. A la interrogante sobre cómo se originan o qué es lo que causa este tipo de problemas se dan muchas y muy diversas respuestas entre las que se incluyen una serie de mitos y creencias. Los niños comienzan a mudar sus dientes de leche a partir de los 5 años de edad aproximadamente.

Recuerda que los dientes de. Es sencillo llama a Aguilar Dental Salut 934 151 113 y pide hora con la Odontopediatra. Por lo que comentas seguramente en unas semanas empezarán a moverse los dientes de leche si no se mueven y los definitivos erupcionan lo mejor es q lo vea un odontólogo porque a veces hay q ayudarles.

Algunas las podemos evitar para. Mucha gente se pregunta entonces qué son los dientes impactados. De este modo sabrás si tienes que esperar y mucha.

Y por su parte una periodontitis se soluciona con un tratamiento periodontal. Soñar con que se enchuecan los dientes significa que necesitas relajarte y dejar ir tus problemas. Este incluirá una evaluación minuciosa de la boca y las.

Porque salen dientes encimados. Quisiera saber porque a mi niña de 6 años y medio hace 2 meses le empezo a salir el diente de abajo sin caersele el de leche todavìa y la lleve a que.

Colmillos Montados Que Hacer Para Bajarlos Y Alinearlos Centre Dental Puig Baldrich

Colmillos Montados Que Hacer Para Bajarlos Y Alinearlos Centre Dental Puig Baldrich

Dientes De Tiburon Odontopediatra Madrid

Dientes De Tiburon Odontopediatra Madrid

Ortodoncia Para Colmillos Montados O Caninos Elevados

Ortodoncia Para Colmillos Montados O Caninos Elevados

Que Es El Apinamiento Dental Tipos De Apinamiento Dental

Que Es El Apinamiento Dental Tipos De Apinamiento Dental

Video Tutorial Apinamiento Colmillos Altos Sin Sobremordida Sin Resalte Youtube

Video Tutorial Apinamiento Colmillos Altos Sin Sobremordida Sin Resalte Youtube

Apinamiento Dental En Ninos Como Se Corrige Eres Mama

Apinamiento Dental En Ninos Como Se Corrige Eres Mama

Por Que Hay Ninos Con Una Segunda Fila De Dientes

Por Que Hay Ninos Con Una Segunda Fila De Dientes

Como Y Cuando Extraer Los Dientes De Leche Dentistainfantiltoledo Com

Como Y Cuando Extraer Los Dientes De Leche Dentistainfantiltoledo Com

Dientes Apinados Saludalia Com

Dientes Apinados Saludalia Com

Por Que No Se La Han Caido Los Dientes A Mi Hijo Youtube

Por Que No Se La Han Caido Los Dientes A Mi Hijo Youtube

Causas Y Soluciones Para Corregir Los Tienes Torcidos Ferrus Bratos

Causas Y Soluciones Para Corregir Los Tienes Torcidos Ferrus Bratos

Dientes Definitivos Sin Caer Los De Leche Actualizado Abril 2022

Dientes Definitivos Sin Caer Los De Leche Actualizado Abril 2022

Problema Resuelto Cuando Los Dientes Definitivos Salen Detras De Los De Leche Dientes De Tiburon Clinica Dental Ninos Y Adultos En Madrid

Problema Resuelto Cuando Los Dientes Definitivos Salen Detras De Los De Leche Dientes De Tiburon Clinica Dental Ninos Y Adultos En Madrid

Dientes De Tiburon En La Infancia Cuando Los Dientes De Leche Se Resisten A Caer

Dientes De Tiburon En La Infancia Cuando Los Dientes De Leche Se Resisten A Caer

Los Dientes Solo Erupcionan Dos Veces

Los Dientes Solo Erupcionan Dos Veces

Que Hacer Cuando Nuestro Hijo Tiene Doble Fila De Dientes

Que Hacer Cuando Nuestro Hijo Tiene Doble Fila De Dientes

Tengo Los Colmillos Montados Como Puedo Corregirlos Ferrus Bratos

Tengo Los Colmillos Montados Como Puedo Corregirlos Ferrus Bratos

A Mi Hijo Le Estan Saliendo Los Dientes En Segunda Fila Clinica Dental Olivares

A Mi Hijo Le Estan Saliendo Los Dientes En Segunda Fila Clinica Dental Olivares

Ortodoncia Para Colmillos Montados O Caninos Elevados

Ortodoncia Para Colmillos Montados O Caninos Elevados

Dientes Chuecos O Torcidos En Ninos Que Hay Que Hacer

Dientes Chuecos O Torcidos En Ninos Que Hay Que Hacer

Le Ha Salido Un Diente Sin Que Se Le Caiga El De Leche

Le Ha Salido Un Diente Sin Que Se Le Caiga El De Leche

Dientes Superiores Desplazados Hacia Delante A Que Esperais

Dientes Superiores Desplazados Hacia Delante A Que Esperais

Dientes Chuecos Tendrian Un Factor Hereditario Clinica Dental Morapavic

Dientes Chuecos Tendrian Un Factor Hereditario Clinica Dental Morapavic

Dientes

Dientes

Por Que Nos Salen Los Dientes Torcidos Apinamiento Dental Youtube

Por Que Nos Salen Los Dientes Torcidos Apinamiento Dental Youtube

Colmillos Montados Es Este Tu Problema Ortodoncia Gonzalez Del Rio

Colmillos Montados Es Este Tu Problema Ortodoncia Gonzalez Del Rio

Traumatismos En Los Dientes De Leche

Traumatismos En Los Dientes De Leche

Dientes Chuecos Tratamiento Y Precios Todo Sobre Medicamentos

Dientes Chuecos Tratamiento Y Precios Todo Sobre Medicamentos

Dientes De Tiburon En La Infancia Cuando Los Dientes De Leche Se Resisten A Caer

Dientes De Tiburon En La Infancia Cuando Los Dientes De Leche Se Resisten A Caer

Dientes Montados Clasificacion Y Solucion Apinamiento Dental

Dientes Montados Clasificacion Y Solucion Apinamiento Dental

Colmillos Montados Es Este Tu Problema Ortodoncia Gonzalez Del Rio

Colmillos Montados Es Este Tu Problema Ortodoncia Gonzalez Del Rio

Recuperacion De Dientes Impactados Como Se Consigue

Recuperacion De Dientes Impactados Como Se Consigue

Como Se Llaman Los Dientes Y Cuando Salen Los Dientes

Como Se Llaman Los Dientes Y Cuando Salen Los Dientes

Por Que Los Dientes Torcidos Te Pueden Causar Problemas

Por Que Los Dientes Torcidos Te Pueden Causar Problemas

Por Que Se Mueven Los Dientes Despues De Usar Brackets

Por Que Se Mueven Los Dientes Despues De Usar Brackets

Mi Hijo Tiene Dientes De Leche Dobles Que Debo Hacer Centauro

Mi Hijo Tiene Dientes De Leche Dobles Que Debo Hacer Centauro

Incidencias En Los Tratamientos De Ortodoncia Novasmile

Incidencias En Los Tratamientos De Ortodoncia Novasmile

Dientes Montados Clasificacion Y Solucion Apinamiento Dental

Dientes Montados Clasificacion Y Solucion Apinamiento Dental

A Mi Hijo Le Ha Salido Un Diente Extrano

A Mi Hijo Le Ha Salido Un Diente Extrano

Dientes Torcidos Descubre Como Solucionarlo Luciano Badanelli

Dientes Torcidos Descubre Como Solucionarlo Luciano Badanelli

Que Son Los Dientes Supernumerarios Causas Y Tratamiento

Que Son Los Dientes Supernumerarios Causas Y Tratamiento

Tratamientos Efectivos Para Corregir Los Dientes Incluidos Ferrus Bratos

Tratamientos Efectivos Para Corregir Los Dientes Incluidos Ferrus Bratos

Por Que Tus Dientes Influyen En Tu Forma De Hablar Muy Interesante

Por Que Tus Dientes Influyen En Tu Forma De Hablar Muy Interesante

Se Deben Quitar Los Dientes Flojos Cdim

Se Deben Quitar Los Dientes Flojos Cdim

Dientes De Leche Y Permanentes 1 Youtube

Dientes De Leche Y Permanentes 1 Youtube

Dientes Superiores Desplazados Hacia Delante A Que Esperais

Dientes Superiores Desplazados Hacia Delante A Que Esperais

Colmillos Montados Es Este Tu Problema Ortodoncia Gonzalez Del Rio

Colmillos Montados Es Este Tu Problema Ortodoncia Gonzalez Del Rio

Manchas En Los Dientes Conoce Todas Las Manchas

Manchas En Los Dientes Conoce Todas Las Manchas

1

1

Bajo mi punto de vista lo último que debe hacerse es quitarse piezas dentales porque una funda o diente de porcelana NUNCA será lo mismo puede haber rechazo al implante darte problemas o simplemente caerse con el tiempo y no hay nada mejor que conservar todas las piezas dentales.

Este incluirá una evaluación minuciosa de la boca y las. El proveedor llevará a cabo un examen físico. Lo recomendable es utilizarlos 22h diaria. No te preocupes tu dentista esta en lo correcto casi nunca recomiendo aue se le saquen los dientes de leche asi por que si solo por. Están erupcionando los incisivos inferiores permanentes sin que se hayan caído todavía los de leche. De este modo sabrás si tienes que esperar y mucha. El nombre correcto de lo que comúnmente conocemos como dientes chuecos es maloclusión o mal posición dental. Este incluirá una evaluación minuciosa de la boca y las. Un consejo ponte brackets.


Porque salen dientes encimados. Los niños comienzan a mudar sus dientes de leche a partir de los 5 años de edad aproximadamente. Bajo mi punto de vista lo último que debe hacerse es quitarse piezas dentales porque una funda o diente de porcelana NUNCA será lo mismo puede haber rechazo al implante darte problemas o simplemente caerse con el tiempo y no hay nada mejor que conservar todas las piezas dentales. El nombre correcto de lo que comúnmente conocemos como dientes chuecos es maloclusión o mal posición dental. Explicamos un caso adjuntando imágenes y video del antes y después. El apiñamiento dental es muy frecuente en nuestra población en este video te explicamos las causas de los dientes torcidos. Como ves unos dientes montados pueden dar lugar a enfermedades orales más o menos sencillas de solucionar.

Post a Comment for "Porque Salen Los Dientes Encimados"