Skip to content Skip to sidebar Skip to footer

Hip Stress Fracture Treatment

Stress Fractures Of The Femoral Neck Everything You Need To Know Dr Nabil Ebraheim Youtube

Stress Fractures Of The Femoral Neck Everything You Need To Know Dr Nabil Ebraheim Youtube

Hip stress fracture treatment. Hip fractures are usually treated in hospital with surgery. Some cases of hip stress fractures require surgery whereas some others can be treated without the need for surgery. Depending on the severity of the hip stress fracture surgery may be.

If an x-ray or MRI at the sports clinic confirms that youre experiencing a stress fracture in the hip the doctor will likely instruct you to rest. There are different operations which are. This depends on the fracture site and whether it is a simple crack or a displaced fracture.

A hip fracture is a break in the upper part of the thigh bone femur which is the bone that fits into the socket of the hip joint. Gentle progressive strengthening exercises to. Treatment of hip stress fracture.

What would a physiotherapy treatment for a Hip Stress Fracture involve. Most people will need surgery to fix the fracture or replace all or part of their hip ideally on the same day theyre admitted to hospital or the day after. Treatment of hip stress fracture Immediately after a stress fracture is diagnosed the patient should discontinue all sports activities and walk with two crutches to apply less forces to the injured leg.

Stress injuries can be found in the shin bone foot heel hip and lower back. Eat more calcium- and vitamin D-rich foods or take supplements. If the pain is manageable and you can walk without too much discomfort start with at-home treatment.

Stress fractures under the femoral neck are less likely to be displaced and therefore they are usually treated by nonsurgical procedures. Treatment for hip fracture usually involves a combination of surgery rehabilitation and medication. Stop any moderate activity and repetitive stressful exercises running squatting cycling.

Medications for Stress Fractures You can take over-the-counter medications to manage pain. Initial treatment of a hip stress fracture may include X-rays a magnetic resonance imaging MRI scan or a bone scan to further evaluate your condition.

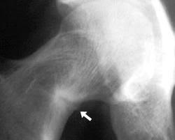
Stress Fracture Of The Hip

Stress Fracture Of The Hip

Femoral Neck Stress Fracture Signs Symptoms Diagnosis And Treatment Youtube

Femoral Neck Stress Fracture Signs Symptoms Diagnosis And Treatment Youtube

9 Tactics To Prevent Stress Fractures

9 Tactics To Prevent Stress Fractures

Stress Fractures Of The Hip Orthonorcal

Stress Fractures Of The Hip Orthonorcal

Stress Fracture Of The Hip

Stress Fracture Of The Hip

Imaging Features And Management Of Stress Atypical And Pathologic Fractures Radiographics

Imaging Features And Management Of Stress Atypical And Pathologic Fractures Radiographics

Stress Fractures Of The Hip Orthonorcal

Stress Fractures Of The Hip Orthonorcal

Running With Hip Pain Femoral Neck Stress Fractures The Physio Lab

Running With Hip Pain Femoral Neck Stress Fractures The Physio Lab

Femoral Neck Stress Fracture

Femoral Neck Stress Fracture

Physical Therapy In Plymouth For Hip Pain Stress Fracture

Physical Therapy In Plymouth For Hip Pain Stress Fracture

Hip Stress Fracture Causes Symptoms And Treatment Iranorthoped

Hip Stress Fracture Causes Symptoms And Treatment Iranorthoped

Femoral Neck Stress Fracture Background Epidemiology Functional Anatomy

Femoral Neck Stress Fracture Background Epidemiology Functional Anatomy

Uncommon Injuries Don T Play With Groin Pain Femoral Neck Stress Fractures

Uncommon Injuries Don T Play With Groin Pain Femoral Neck Stress Fractures

Running With Hip Pain Femoral Neck Stress Fractures The Physio Lab

Running With Hip Pain Femoral Neck Stress Fractures The Physio Lab

Hip Stress Fracture Upper East Orthopaedics Blog

Hip Stress Fracture Upper East Orthopaedics Blog

Hip Stress Fracture Symptoms Causes And Treatment

Hip Stress Fracture Symptoms Causes And Treatment

All About Stress Fractures

All About Stress Fractures

Fracture Treatment Hip Stress Fracture

Fracture Treatment Hip Stress Fracture

The Ultimate Runner S Guide To Stress Fractures

The Ultimate Runner S Guide To Stress Fractures

Stress Fracture Of The Femoral Neck Robert Howells

Stress Fracture Of The Femoral Neck Robert Howells

Hip Fracture Cedars Sinai

Hip Fracture Cedars Sinai

Femoral Neck Stress Fracture Radiology Case Radiopaedia Org

Femoral Neck Stress Fracture Radiology Case Radiopaedia Org

Hip Fractures In Adults American Family Physician

Hip Fractures In Adults American Family Physician

3

3

Understanding Hip Fractures How These Breaks Differ And Why Recovery Can Be Challenging The Leone Center For Orthopedic Care

Understanding Hip Fractures How These Breaks Differ And Why Recovery Can Be Challenging The Leone Center For Orthopedic Care

Femoral Neck Stress Fracture Signs Symptoms Diagnosis And Treatment Dr David Geier Sports Medicine Simplified

Femoral Neck Stress Fracture Signs Symptoms Diagnosis And Treatment Dr David Geier Sports Medicine Simplified

Stress Fracture Of The Neck Of Femur Hip Conditions Musculoskeletal What We Treat Physio Co Uk

Stress Fracture Of The Neck Of Femur Hip Conditions Musculoskeletal What We Treat Physio Co Uk

Femoral Neck Stress Fractures Knee Sports Orthobullets

Femoral Neck Stress Fractures Knee Sports Orthobullets

Hip Stress Fracture Musculoskeletal What We Treat Liverpool Physio Leading Physiotherapy Provider In Liverpool City Centre And Speke

Hip Stress Fracture Musculoskeletal What We Treat Liverpool Physio Leading Physiotherapy Provider In Liverpool City Centre And Speke

Compression Stress Fracture Chiropractor Chandler Az

Compression Stress Fracture Chiropractor Chandler Az

Injuries To Pelvis And Hip Ppt Download

Injuries To Pelvis And Hip Ppt Download

Femoral Neck Stress Fractures Knee Sports Orthobullets

Femoral Neck Stress Fractures Knee Sports Orthobullets

Stress Fracture Sports Medicine Today

Stress Fracture Sports Medicine Today

Diagnosis Treatment And Rehabilitation Of Stress Fractures In The Lo Oajsm

Diagnosis Treatment And Rehabilitation Of Stress Fractures In The Lo Oajsm

Hairline Non Displaced Fracture Causes Symptoms Treatment Recovery Period

Hairline Non Displaced Fracture Causes Symptoms Treatment Recovery Period

Hip Stress Fracture Illinois Chiropractic Society

Hip Stress Fracture Illinois Chiropractic Society

Hip Fracture Diagnosis And Treatment Mayo Clinic

Hip Fracture Diagnosis And Treatment Mayo Clinic

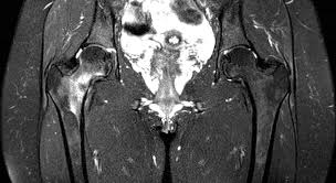
Coronal Mri T1w Image Showing The Stress Fracture As Linear Download Scientific Diagram

Coronal Mri T1w Image Showing The Stress Fracture As Linear Download Scientific Diagram

Stress Fracture Of The Neck Of Femur Hip Conditions Musculoskeletal What We Treat Physio Co Uk

Stress Fracture Of The Neck Of Femur Hip Conditions Musculoskeletal What We Treat Physio Co Uk

Uncommon Injuries Don T Play With Groin Pain Femoral Neck Stress Fractures

Uncommon Injuries Don T Play With Groin Pain Femoral Neck Stress Fractures

Stress Fractures Of The Femur Musculoskeletal Key

Stress Fractures Of The Femur Musculoskeletal Key

The Radiology Assistant Stress Fractures

The Radiology Assistant Stress Fractures

Hip Stress Fracture Symptoms Causes And Treatment

Hip Stress Fracture Symptoms Causes And Treatment

Management Of Femoral Neck Stress Fracture In An Athlete Using Clodronic Acid A Clinical Case Report Springerlink

Management Of Femoral Neck Stress Fracture In An Athlete Using Clodronic Acid A Clinical Case Report Springerlink

Stress Fractures Of The Femur Musculoskeletal Key

Stress Fractures Of The Femur Musculoskeletal Key

Stress Fractures Causes Symptoms Treatment Recovery Complications

Stress Fractures Causes Symptoms Treatment Recovery Complications

Femoral Shaft Stress Fractures Knee Sports Orthobullets

Femoral Shaft Stress Fractures Knee Sports Orthobullets

Femoral Neck Stress Fractures Ep Wellness Functional Medicine Clinic

Femoral Neck Stress Fractures Ep Wellness Functional Medicine Clinic

Https Encrypted Tbn0 Gstatic Com Images Q Tbn And9gcrd88vavzsreyycnjulre Ywsodpcknmg0frcxatv3kpyqlrrby Usqp Cau

Https Encrypted Tbn0 Gstatic Com Images Q Tbn And9gcrd88vavzsreyycnjulre Ywsodpcknmg0frcxatv3kpyqlrrby Usqp Cau

What would a physiotherapy treatment for a Hip Stress Fracture involve.

How long does it take for a femoral stress fracture to heal. Medications for Stress Fractures You can take over-the-counter medications to manage pain. Heat treatments to alleviate pain and stiffness. Stress fractures under the femoral neck are less likely to be displaced and therefore they are usually treated by nonsurgical procedures. Treatment of Stress Fractures of the hip include. Initial treatment of a hip stress fracture may include X-rays a magnetic resonance imaging MRI scan or a bone scan to further evaluate your condition. This depends on the fracture site and whether it is a simple crack or a displaced fracture. Stress fractures which are tiny hairline cracks in the bone may or may not require surgery. Mobilisation exercises to maintain range of movement and flexibility.


Eat more calcium- and vitamin D-rich foods or take supplements. This depends on the fracture site and whether it is a simple crack or a displaced fracture. Stress fractures in the hip often heal on their own especially if the fracture is small. Most orthopaedic surgeons recommend non-surgical treatments such as staying off the affected leg use of crutches and resting the hip for four to six weeks. Treatment of hip stress fracture Immediately after a stress fracture is diagnosed the patient should discontinue all sports activities and walk with two crutches to apply less forces to the injured leg. Severe fractures are usually treated with surgery. Stress injuries can be found in the shin bone foot heel hip and lower back.

Post a Comment for "Hip Stress Fracture Treatment"