Skip to content Skip to sidebar Skip to footer

Leptomeningeal Disease Life Expectancy

Leptomeningeal Metastases Symptoms Diagnosis And More

Leptomeningeal Metastases Symptoms Diagnosis And More

Leptomeningeal disease life expectancy. It can be difficult to cope with leptomeningeal metastases. While treatment options are limited early diagnosis and therapy help preserve neurologic function and prolong life generally three to six months. Since leptomeningeal disease cancer cells float in the cerebrospinal fluid they can quickly spread throughout the central nervous system.

With treatment survival is about 3 to 6 months. The median time to diagnose LC after diagnosis of a solid tumor ranges between 12 and 2 years. Treatment will depend on your primary cancer symptoms and functional status.

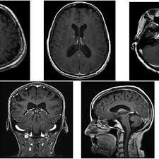
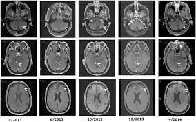
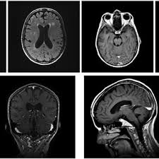
Magnetic resonance imaging MRI scan. As a result leptomeningeal disease has a poor prognosis with survival typically measured in months. Lymphomatous meningitis has a better outlook with a median survival of more than 6 months but diagnosis may be.

Most curious as to how long the medicine is effective since LMD has a life expectancy of up to 4 months and he is well past that. Drugs that help the immune system to fight cancer cells immunotherapy Help and support. Leptomeningeal metastases are very challenging to treat due to the often occurrence in advanced stages of cancer and after a person has been sick for a significant period of time creating a situation of unknown life expectancy of the patient and resulting in.

Newer targeted cancer drugs. The mean life expectancy after the disease is diagnosed is approximately 6 months to 13 months depending upon the stage of cancer. Metastatic ER-positive breast cancer can be a rela-tively indolent disease and about 50 of patients ben-efit from hormonal manipulation.

The most common treatment for leptomeningeal disease is radiation therapy. LM can cause many different symptoms such as. Given the known average life expectancy with this management median improvement in survival could not exceed 1 2 months.

Cerebrospinal fluid CSF flow study. Difficulty speaking or swallowing.

Leptomeningeal Carcinomatosis In Patients With Breast Cancer Sciencedirect

Leptomeningeal Carcinomatosis In Patients With Breast Cancer Sciencedirect

Leptomeningeal Disease In Solid Cancers Springerlink

Leptomeningeal Disease In Solid Cancers Springerlink

Leptomeningeal Disease Neurosurgery Clinics

Leptomeningeal Disease Neurosurgery Clinics

Prolonged Survival Of A Patient With Metastatic Leptomeningeal Melanoma Treated With Braf Inhibition Based Therapy A Case Report Bmc Cancer Full Text

Prolonged Survival Of A Patient With Metastatic Leptomeningeal Melanoma Treated With Braf Inhibition Based Therapy A Case Report Bmc Cancer Full Text

Cauda Equine Syndrome As The Primary Symptom Of Leptomeningeal Metasta Ott

Cauda Equine Syndrome As The Primary Symptom Of Leptomeningeal Metasta Ott

An Overview Of Leptomeningeal Disease Nguyen Annals Of Palliative Medicine

An Overview Of Leptomeningeal Disease Nguyen Annals Of Palliative Medicine

An Overview Of Leptomeningeal Disease Nguyen Annals Of Palliative Medicine

An Overview Of Leptomeningeal Disease Nguyen Annals Of Palliative Medicine

Long Term Control Of Leptomeningeal Disease After Radiation Therapy And Nivolumab In A Metastatic Melanoma Patient Immunotherapy

Long Term Control Of Leptomeningeal Disease After Radiation Therapy And Nivolumab In A Metastatic Melanoma Patient Immunotherapy

Https Onlinelibrary Wiley Com Doi Pdf 10 1002 Cncr 30911

Https Onlinelibrary Wiley Com Doi Pdf 10 1002 Cncr 30911

Management Of Leptomeningeal Metastases In Non Small Cell Lung Cancer

Management Of Leptomeningeal Metastases In Non Small Cell Lung Cancer

Leptomeningeal Metastases Symptoms Diagnosis And More

Leptomeningeal Metastases Symptoms Diagnosis And More

New Hope For Leptomeningeal Disease Care Md Anderson Cancer Center

New Hope For Leptomeningeal Disease Care Md Anderson Cancer Center

Leptomeningeal Metastases In Non Small Cell Lung Cancer The Lancet Oncology

Leptomeningeal Metastases In Non Small Cell Lung Cancer The Lancet Oncology

Overview Of The Diagnosis And Management Of Brain Spine And Meningeal Metastases Journal Of Neurology Neurosurgery Psychiatry

Overview Of The Diagnosis And Management Of Brain Spine And Meningeal Metastases Journal Of Neurology Neurosurgery Psychiatry

Leptomeningeal Metastases Radiology Reference Article Radiopaedia Org

Leptomeningeal Metastases Radiology Reference Article Radiopaedia Org

Dural And Leptomeningeal Spine Metastases Of Breast Cancer

Dural And Leptomeningeal Spine Metastases Of Breast Cancer

Leptomeningeal Metastases Radiology Reference Article Radiopaedia Org

Leptomeningeal Metastases Radiology Reference Article Radiopaedia Org

Eano Esmo Clinical Practice Guidelines For Diagnosis Treatment And Follow Up Of Patients With Leptomeningeal Metastasis From Solid Tumours Annals Of Oncology

Eano Esmo Clinical Practice Guidelines For Diagnosis Treatment And Follow Up Of Patients With Leptomeningeal Metastasis From Solid Tumours Annals Of Oncology

Leptomeningeal Disease What To Expect Youtube

Leptomeningeal Disease What To Expect Youtube

Pdf A Report Of Bell S Palsy Triggered By Leptomeningeal Metastases From Recurrent High Grade Serous Ovarian Cancer

Pdf A Report Of Bell S Palsy Triggered By Leptomeningeal Metastases From Recurrent High Grade Serous Ovarian Cancer

Long Term Control Of Leptomeningeal Disease After Radiation Therapy And Nivolumab In A Metastatic Melanoma Patient Immunotherapy

Long Term Control Of Leptomeningeal Disease After Radiation Therapy And Nivolumab In A Metastatic Melanoma Patient Immunotherapy

Median Os Ranges From Observational Studies Meeting Inclusion Download Scientific Diagram

Median Os Ranges From Observational Studies Meeting Inclusion Download Scientific Diagram

Leptomeningeal Disease In Solid Cancers Springerlink

Leptomeningeal Disease In Solid Cancers Springerlink

1

1

How We Treat Patients With Leptomeningeal Metastases Esmo Open

How We Treat Patients With Leptomeningeal Metastases Esmo Open

Carcinomatous Meningitis It Does Not Have To Be A Death Sentence

Carcinomatous Meningitis It Does Not Have To Be A Death Sentence

Pdf A Report Of Bell S Palsy Triggered By Leptomeningeal Metastases From Recurrent High Grade Serous Ovarian Cancer

Pdf A Report Of Bell S Palsy Triggered By Leptomeningeal Metastases From Recurrent High Grade Serous Ovarian Cancer

Https Onlinelibrary Wiley Com Doi Pdf 10 1002 Cncr 30911

Https Onlinelibrary Wiley Com Doi Pdf 10 1002 Cncr 30911

Endocrine Therapy For Leptomeningeal Metastases From Er Positive Breast Cancer Case Report And A Review Of The Literature Zoghi 2016 The Breast Journal Wiley Online Library

Endocrine Therapy For Leptomeningeal Metastases From Er Positive Breast Cancer Case Report And A Review Of The Literature Zoghi 2016 The Breast Journal Wiley Online Library

Meningeal Carcinomatosis An Overview Sciencedirect Topics

Meningeal Carcinomatosis An Overview Sciencedirect Topics

Analysis Of Treatment Outcomes Of Intraventricular Chemotherapy In 105 Patients For Leptomeningeal Carcinomatosis From Non Small Cell Lung Cancer Journal Of Thoracic Oncology

Analysis Of Treatment Outcomes Of Intraventricular Chemotherapy In 105 Patients For Leptomeningeal Carcinomatosis From Non Small Cell Lung Cancer Journal Of Thoracic Oncology

Leptomeningeal Cancer Wikipedia

Leptomeningeal Cancer Wikipedia

Optic Neuritis As Isolated Manifestation Of Leptomeningeal Carcinomatosis A Case Report And Systematic Review Of Ocular Manifestations Of Neoplastic Meningitis Topic Of Research Paper In Clinical Medicine Download Scholarly Article Pdf

Optic Neuritis As Isolated Manifestation Of Leptomeningeal Carcinomatosis A Case Report And Systematic Review Of Ocular Manifestations Of Neoplastic Meningitis Topic Of Research Paper In Clinical Medicine Download Scholarly Article Pdf

Frontiers Palliative Radiotherapy For Leptomeningeal Carcinomatosis Analysis Of Outcome Prognostic Factors And Symptom Response Oncology

Frontiers Palliative Radiotherapy For Leptomeningeal Carcinomatosis Analysis Of Outcome Prognostic Factors And Symptom Response Oncology

Symptoms Of Leptomeningeal Carcinomatosis Download Scientific Diagram

Symptoms Of Leptomeningeal Carcinomatosis Download Scientific Diagram

Carcinomatous Meningitis Article

Carcinomatous Meningitis Article

Epidemiology And Prognosis Of Ommaya Reservoir Related Bacterial Meningitis In Adult Patients With Leptomeningeal Metastases From Solid Tumors A 10 Year Retrospective Single Center Study In Japan Journal Of Infection And Chemotherapy

Epidemiology And Prognosis Of Ommaya Reservoir Related Bacterial Meningitis In Adult Patients With Leptomeningeal Metastases From Solid Tumors A 10 Year Retrospective Single Center Study In Japan Journal Of Infection And Chemotherapy

Intracranial Leptomeningeal Carcinomatosis In Three Cases From Breast Cancer Demonstrated On F 18 Fluorodeoxyglucose Positron Emission Tomography Computerized Tomography Abstract Europe Pmc

Intracranial Leptomeningeal Carcinomatosis In Three Cases From Breast Cancer Demonstrated On F 18 Fluorodeoxyglucose Positron Emission Tomography Computerized Tomography Abstract Europe Pmc

Intracranial Leptomeningeal Carcinomatosis In Three Cases From Breast Cancer Demonstrated On F 18 Fluorodeoxyglucose Positron Emission Tomography Computerized Tomography Abstract Europe Pmc

Intracranial Leptomeningeal Carcinomatosis In Three Cases From Breast Cancer Demonstrated On F 18 Fluorodeoxyglucose Positron Emission Tomography Computerized Tomography Abstract Europe Pmc

Carcinomatous Meningitis It Does Not Have To Be A Death Sentence

Carcinomatous Meningitis It Does Not Have To Be A Death Sentence

Flow Diagram Of Study Selection N Number Of Studies Lmd Download Scientific Diagram

Flow Diagram Of Study Selection N Number Of Studies Lmd Download Scientific Diagram

Intracranial Leptomeningeal Carcinomatosis In Three Cases From Breast Cancer Demonstrated On F 18 Fluorodeoxyglucose Positron Emission Tomography Computerized Tomography Abstract Europe Pmc

Intracranial Leptomeningeal Carcinomatosis In Three Cases From Breast Cancer Demonstrated On F 18 Fluorodeoxyglucose Positron Emission Tomography Computerized Tomography Abstract Europe Pmc

Clinical Outcome Of Cerebrospinal Fluid Shunts In Patients With Leptomeningeal Carcinomatosis World Journal Of Surgical Oncology Full Text

Clinical Outcome Of Cerebrospinal Fluid Shunts In Patients With Leptomeningeal Carcinomatosis World Journal Of Surgical Oncology Full Text

An Overview Of Leptomeningeal Disease Nguyen Annals Of Palliative Medicine

An Overview Of Leptomeningeal Disease Nguyen Annals Of Palliative Medicine

The Relevance Of Intraventricular Chemotherapy For Leptomeningeal Metastasis In Breast Cancer A Randomised Study European Journal Of Cancer

The Relevance Of Intraventricular Chemotherapy For Leptomeningeal Metastasis In Breast Cancer A Randomised Study European Journal Of Cancer

Leptomeningeal Disease Treatment Mount Sinai New York

Leptomeningeal Disease Treatment Mount Sinai New York

Management Of Leptomeningeal Metastases In Non Small Cell Lung Cancer

Management Of Leptomeningeal Metastases In Non Small Cell Lung Cancer

Scielo Brasil Mortality Is Higher In Patients With Leptomeningeal Metastasis In Spinal Cord Tumors Mortality Is Higher In Patients With Leptomeningeal Metastasis In Spinal Cord Tumors

Scielo Brasil Mortality Is Higher In Patients With Leptomeningeal Metastasis In Spinal Cord Tumors Mortality Is Higher In Patients With Leptomeningeal Metastasis In Spinal Cord Tumors

1

1

Melanoma-derived LC carries a 36-month median survival and only 20 of these patients stabilize or improve with treatment.

Carcinomatous meningitis specifically leptomeningeal metastases from solid tumors has a dismal prognosis with an overall median survival of 2 to 4 months. This disease has a very low survival rate. Without treatment survival is 4 to 6 weeks. The median time to diagnose LC after diagnosis of a solid tumor ranges between 12 and 2 years. Without treatment after diagnosis there is a rapid progression of neurologic dysfunction with a median lifespan of four to six weeks. Metastatic ER-positive breast cancer can be a rela-tively indolent disease and about 50 of patients ben-efit from hormonal manipulation. Newer targeted cancer drugs. The following tests play a role in determining if you have leptomeningeal metastases. Back to top Symptoms of Leptomeningeal Metastases.


The following tests play a role in determining if you have leptomeningeal metastases. Since leptomeningeal disease cancer cells float in the cerebrospinal fluid they can quickly spread throughout the central nervous system. It can be difficult to cope with leptomeningeal metastases. The most common treatment for leptomeningeal disease is radiation therapy. Metastatic ER-positive breast cancer can be a rela-tively indolent disease and about 50 of patients ben-efit from hormonal manipulation. When cancer cells are found in your meninges or CSF this is called leptomeningeal metastases LM. Researchers continue to look into the best treatment for cancers that have spread including leptomeningeal metastases.

Post a Comment for "Leptomeningeal Disease Life Expectancy"