Skip to content Skip to sidebar Skip to footer

Sarcoidosis Interstitial Lung Disease

Lung Field Abnormalities Interstitial Disease Sarcoidosis Classified By Chest X Ray Into 5 Stages Stage 0 Normal C

Lung Field Abnormalities Interstitial Disease Sarcoidosis Classified By Chest X Ray Into 5 Stages Stage 0 Normal C

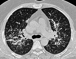
Sarcoidosis interstitial lung disease. Bilateral hilar adenopathy. When sarcoidosis causes scaring in the lungs it may be referred to as Interstitial Lung Disease ILD. Sarcoidosis a form of interstitial lung disease is a rare disease characterized by the discrete accumulation of inflammatory cells and matrix proteins granulomas in different parts of the body typically the lungs pulmonary sarcoidosis.

Interstitial lung disease is an umbrella term used to define a complex group of pulmonary diseases including sarcoidosis and idiopathic pulmonary fibrosis. Sarcoidosis is a rare disease caused by inflammation. Interstitial lung diseases ILDs result from damage to the alveoli air sacs leading to inflammation and fibrosis of the interstitium tissue wall between the.

Interstitial Lung Disease ILD and Sarcoidosis Program Interstitial Lung Disease ILD and Sarcoidosis Program. Sarcoidosis is a granulomatous disease of unknown cause occurs worldwide and has a highly variable prevalence. It causes small lumps of inflammatory cells in the lungs.

The interstitial lung diseases ILDs are characterised by dyspnoea on exertion exercise-induced hypoxaemia reduced skeletal muscle function and exercise intolerance. Treatment options are still limited and prolonging life at an acceptable quality is what most people strive for. The most accurate ILD diagnoses occur when there is direct communication between pulmonologists.

It affects different organs including lungs. Sarcoidosis most commonly affects the lungs. 1202 ILDdiffuse parenchymal lung diseases DPLD of known origin.

1 In this form of ILD scarring of the lung tissue might develop. What is the overall aim. Sarcoidosis also known as sarcoid is a disease resulting in small nodules of inflammation and scarring called granulomas throughout the body.

Evidence from nine randomised controlled trials shows that pulmonary rehabilitation improves exercise capacity dyspnoea and quality of life in ILD with moderately large effect. Interstitial lung disease ILD describes a broad category of.

Management Of End Stage Sarcoidosis Pulmonary Hypertension And Lung Transplantation European Respiratory Society

Management Of End Stage Sarcoidosis Pulmonary Hypertension And Lung Transplantation European Respiratory Society

Sarcoidosis Wikipedia

Sarcoidosis Wikipedia

Combined Sarcoidosis And Idiopathic Pulmonary Fibrosis Csipf A Novel Disease Phenotype Respiratory Medicine

Combined Sarcoidosis And Idiopathic Pulmonary Fibrosis Csipf A Novel Disease Phenotype Respiratory Medicine

Clinical Manifestations Of Sarcoidosis Intechopen

Clinical Manifestations Of Sarcoidosis Intechopen

Chronic Interstitial Pneumonitis In End Stage Sarcoidosis European Respiratory Society

Chronic Interstitial Pneumonitis In End Stage Sarcoidosis European Respiratory Society

Sarcoidosis Radiology At St Vincent S University Hospital

Sarcoidosis Radiology At St Vincent S University Hospital

Sarcoidosis And Ipf In The Same Patient A Coincidence An Association Or A Phenotype Sciencedirect

Sarcoidosis And Ipf In The Same Patient A Coincidence An Association Or A Phenotype Sciencedirect

Worldwide Burden Of Interstitial Lung Diseases And Pulmonary Download Scientific Diagram

Worldwide Burden Of Interstitial Lung Diseases And Pulmonary Download Scientific Diagram

Diagnosis Of Granulomatous Lymphocytic Interstitial Lung Disease Download Scientific Diagram

Diagnosis Of Granulomatous Lymphocytic Interstitial Lung Disease Download Scientific Diagram

Sarcoidosis Stage 1 Bilateral Lad Without Involvement Grepmed

Sarcoidosis Stage 1 Bilateral Lad Without Involvement Grepmed

Physiological Manifestation In Pulmonary Sarcoidosis Intechopen

Physiological Manifestation In Pulmonary Sarcoidosis Intechopen

Sarcoidosis Radiology Reference Article Radiopaedia Org

Sarcoidosis Radiology Reference Article Radiopaedia Org

Exercise For Interstitial Lung Disease Including Idiopathic Pulmonary Fibrosis And Sarcoidosis Glebe Physio

Exercise For Interstitial Lung Disease Including Idiopathic Pulmonary Fibrosis And Sarcoidosis Glebe Physio

Pulmonary Sarcoidosis

Pulmonary Sarcoidosis

What Are The Different Types Of Ild Interstitial Lung Disease Ild Patient Education

What Are The Different Types Of Ild Interstitial Lung Disease Ild Patient Education

Image Of Sarcoidosis Lung Parenchymal Disease

Image Of Sarcoidosis Lung Parenchymal Disease

Pulmonary Sarcoidosis Typical And Atypical Manifestations At High Resolution Ct With Pathologic Correlation Radiographics

Pulmonary Sarcoidosis Typical And Atypical Manifestations At High Resolution Ct With Pathologic Correlation Radiographics

Sarcoidosis Radiology Case Radiopaedia Org

Sarcoidosis Radiology Case Radiopaedia Org

The Radiology Assistant Common Diseases

The Radiology Assistant Common Diseases

Sarcoidosis Vasculitis And Diffuse Lung Diseases Mattiolihealth

Sarcoidosis Vasculitis And Diffuse Lung Diseases Mattiolihealth

Sarcoidosis From Head To Toe What The Radiologist Needs To Know Radiographics

Sarcoidosis From Head To Toe What The Radiologist Needs To Know Radiographics

Interstitial Lung Disease Approach To Diagnosis Ppt Download

Interstitial Lung Disease Approach To Diagnosis Ppt Download

Jornal Brasileiro De Pneumologia Importancia Da Tcar De Torax Na Avaliacao De Pneumopatias Intersticiais Fibrosantes

Jornal Brasileiro De Pneumologia Importancia Da Tcar De Torax Na Avaliacao De Pneumopatias Intersticiais Fibrosantes

1

1

Interstitial Pneumonia In Sarcoidosis Lung Ct Scan Stock Image C038 4556 Science Photo Library

Interstitial Pneumonia In Sarcoidosis Lung Ct Scan Stock Image C038 4556 Science Photo Library

Chronic Interstitial Restrictive Infiltrative Lung Diseases Ppt Video Online Download

Chronic Interstitial Restrictive Infiltrative Lung Diseases Ppt Video Online Download

Diagnosis And Treatment Of Diffuse Interstitial Lung Diseases Archivos De Bronconeumologia

Diagnosis And Treatment Of Diffuse Interstitial Lung Diseases Archivos De Bronconeumologia

Ppt Interstitial Lung Disease Sarcoidosis Powerpoint Presentation Id 6700835

Ppt Interstitial Lung Disease Sarcoidosis Powerpoint Presentation Id 6700835

A Case Of Sarcoidosis With Interstitial Lung Disease Mimicking Clinically Amyopathic Dermatomyositis And Rapidly Progressive Interstitial Lung Disease Topic Of Research Paper In Clinical Medicine Download Scholarly Article Pdf And Read

A Case Of Sarcoidosis With Interstitial Lung Disease Mimicking Clinically Amyopathic Dermatomyositis And Rapidly Progressive Interstitial Lung Disease Topic Of Research Paper In Clinical Medicine Download Scholarly Article Pdf And Read

Exploring Clinical And Epidemiological Characteristics Of Interstitial Lung Diseases Rationale Aims And Design Of A Nationwide Prospective Registry The Exciting Ild Registry Abstract Europe Pmc

Exploring Clinical And Epidemiological Characteristics Of Interstitial Lung Diseases Rationale Aims And Design Of A Nationwide Prospective Registry The Exciting Ild Registry Abstract Europe Pmc

Sarcoidosis Wikiwand

Sarcoidosis Wikiwand

Interstitial Lung Diseases Ild Definition Interstitial Lung Diseases

Interstitial Lung Diseases Ild Definition Interstitial Lung Diseases

Sarcoidosis Concise Medical Knowledge

Sarcoidosis Concise Medical Knowledge

Metal Induced Pulmonary Fibrosis Springerlink

Metal Induced Pulmonary Fibrosis Springerlink

Ilds For Medical Students

Ilds For Medical Students

Jornal Brasileiro De Pneumologia Doencas Pulmonares Intersticiais Cronicas Na Crianca

Jornal Brasileiro De Pneumologia Doencas Pulmonares Intersticiais Cronicas Na Crianca

Interstitial Lung Disease A Clinical Overview And General Approach Thoracic Key

Interstitial Lung Disease A Clinical Overview And General Approach Thoracic Key

The Stages Of Pulmonary Sarcoidosis What Do They Really Mean Foundation For Sarcoidosis Research

The Stages Of Pulmonary Sarcoidosis What Do They Really Mean Foundation For Sarcoidosis Research

Interstitial Lung Disease Sarcoidosis Respiratory System Pulmonology

Interstitial Lung Disease Sarcoidosis Respiratory System Pulmonology

Lessons From The Interstitial Lung Disease India Registry A Proposed Practical Scheme Of Classification Of Diffuse Parenchymal Lung Diseases In The Indian Subcontinent

Lessons From The Interstitial Lung Disease India Registry A Proposed Practical Scheme Of Classification Of Diffuse Parenchymal Lung Diseases In The Indian Subcontinent

Sarcoidosis Vasculitis And Diffuse Lung Disease

Sarcoidosis Vasculitis And Diffuse Lung Disease

Interstitial Lung Disease Ild Overview Interstitial Lung Disease Lecturio Youtube

Interstitial Lung Disease Ild Overview Interstitial Lung Disease Lecturio Youtube

Rheumatological Assessment Is Important For Interstitial Lung Disease Diagnosis The Journal Of Rheumatology

Rheumatological Assessment Is Important For Interstitial Lung Disease Diagnosis The Journal Of Rheumatology

Diffuse Parenchymal Lung Diseases Radiology Key

Diffuse Parenchymal Lung Diseases Radiology Key

Frontiers Biologic Treatments In Interstitial Lung Diseases Medicine

Frontiers Biologic Treatments In Interstitial Lung Diseases Medicine

Interstitial Lung Diseases Ild Definition Interstitial Lung Diseases

Interstitial Lung Diseases Ild Definition Interstitial Lung Diseases

Scielo Brasil Padroes Tomograficos Das Doencas Intersticiais Pulmonares Difusas Com Correlacao Clinica E Patologica Padroes Tomograficos Das Doencas Intersticiais Pulmonares Difusas Com Correlacao Clinica E Patologica

Scielo Brasil Padroes Tomograficos Das Doencas Intersticiais Pulmonares Difusas Com Correlacao Clinica E Patologica Padroes Tomograficos Das Doencas Intersticiais Pulmonares Difusas Com Correlacao Clinica E Patologica

Interstitial Lung Disease The Diagnostic Role Of Bronchoscopy Kebbe Journal Of Thoracic Disease

Interstitial Lung Disease The Diagnostic Role Of Bronchoscopy Kebbe Journal Of Thoracic Disease

1

1

The interstitial lung diseases ILDs are characterised by dyspnoea on exertion exercise-induced hypoxaemia reduced skeletal muscle function and exercise intolerance.

This disease is difficult to pin down in so many ways understanding if you have ILD as a result of sarcoidosis is just one of them. Sarcoidosis is a granulomatous disease of unknown cause occurs worldwide and has a highly variable prevalence. 1 Sarcoidosis affects only around 1-36 people in 100000 each year where 20 of these people develop ILD. At least 5 of cases include pulmonary arterial hypertension. 1 In this form of ILD scarring of the lung tissue might develop. Sarcoidosis is a rare disease caused by inflammation. It causes small lumps of inflammatory cells in the lungs. 1202 ILDdiffuse parenchymal lung diseases DPLD of known origin. The interstitial lung diseases ILDs are characterised by dyspnoea on exertion exercise-induced hypoxaemia reduced skeletal muscle function and exercise intolerance.


Sarcoidosis a form of interstitial lung disease is a rare disease characterized by the discrete accumulation of inflammatory cells and matrix proteins granulomas in different parts of the body typically the lungs pulmonary sarcoidosis. Overtime this can lead to permanent scarring or thickening of the organ tissue also called fibrosis. Sarcoidosis is a multisystem granulomatous disorder of unknown etiology that affects individuals worldwide and is characterized pathologically by the presence of noncaseating granulomas in involved organs. Interstitial lung disease ILD describes a broad category of. In this form of ILD scarring of the lung tissue might develop. Sarcoidosis affects only around 1-36 people in 100000 each year where 20 of these people develop ILD. Interstitial lung disease is an umbrella term used to define a complex group of pulmonary diseases including sarcoidosis and idiopathic pulmonary fibrosis.

Post a Comment for "Sarcoidosis Interstitial Lung Disease"